EOTRH

Equine Odontoclastic Tooth Resorption and Hypercementosis (EOTRH) is a disease the equine veterinary community has recently started to identify and investigate. It is a condition that afflicts geriatric horses, typically 15 years of age or older, in which portions of some of the teeth as well as the surrounding bone and support structures begin to erode.  This causes chronic inflammation.  As the disease process progresses, the affected teeth can loosen and even fracture.  EOTRH usually affects the incisors and canine teeth, and there have been occasional reports of involvement of cheek teeth.  In some horses, this resorption of the teeth is accompanied by the over-production of an excessive amount of cementum, a hard, bone-like substance that is a normal component of the equine tooth, enveloping its outer surface.  It is the overproduction of cementum that gives the term “hypercementosis” in the disease’s name.

A clinical case of EOTRH.  The gums over the roots of the incisor appear bulbous, and the lower corner incisor and the lower canine have fractured

A clinical case of EOTRH.  The gums over the roots of the incisor appear bulbous, and the lower corner incisor and the lower canine have fractured

EOTRH can be extremely painful.  Often the most common initial sign reported is a reduced ability to grasp apples and carrots due to the pain of affected incisors.  In some cases, the horse will become completely disinterested in accepting these treats, or may not want to graze, especially if the grass is short.  Other signs associated with this incisor pain can include sensitivity to bitting, head shaking, excess salivation, resistance to turning during work, head shyness, or intermittent inappetence.  However, some horses become incredibly adept at grasping feed with their lips and sliding it past the incisors into the mouth through the “bar” region, so these signs can be difficult to detect in some horses.  In horses with marked hypercementosis, we can see that the gums above the incisors become bulbous and enlarged, or there may be draining tracts present in this region.  Also, if the teeth have quite a lot of resorption or if they partially or fully fracture, we can sometimes notice a foul odour when we look in their mouth.  The disease generally progresses from the canines (if present) to the outer corner incisors and advances toward the midline to the middle, central incisors. 

A clinical case of EOTRH in a geriatric gelding.  Note the extreme bulbous appearance of gums over the incisor roots

A clinical case of EOTRH in a geriatric gelding.  Note the extreme bulbous appearance of gums over the incisor roots

How is EOTRH diagnosed?  Most often, EOTRH is suspected based on findings of a thorough oral exam.  If the oral examination reveals signs of incisor pain, resorption of the canines or incisors (especially that starts laterally), draining tracts above the incisors in the gums, or a bulbous appearance of the incisor roots, x-rays are likely to be recommended.  X-rays allow confirmation of the disease as well as aiding in the planning of treatment if EOTRH is confirmed.

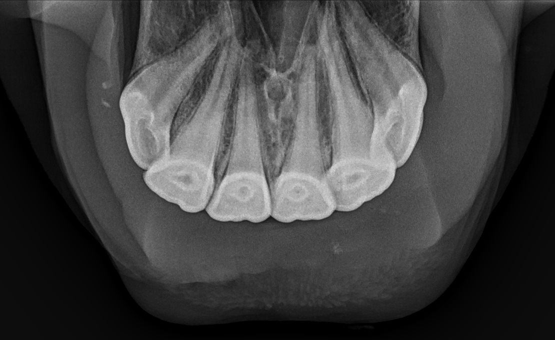
X-ray of normal incisors in a mare in her upper teens.  Note the tapered, well defined roots

X-ray of normal incisors in a mare in her upper teens.  Note the tapered, well defined roots

A clinical case of EOTRH in a gelding in his mid twenties.  Note the irregular and bulbous appearance of the roots, especially the outside incisors with less involvement of the middle incisors.  The bone surrounding the roots also looks ir…

A clinical case of EOTRH in a gelding in his mid twenties.  Note the irregular and bulbous appearance of the roots, especially the outside incisors with less involvement of the middle incisors.  The bone surrounding the roots also looks irregular.

At the present time, our only reliable treatment option for EOTRH is extraction of the affected teeth.  Sometimes this involves extraction of a few teeth, with continued monitoring of the others with future oral exams and x-rays.  In some cases, treatment involves extraction of all of the incisors.  Although this sounds radical, with appropriate management horses with that have had all incisors pulled due to EOTRH can cope very well.  Although they may protrude their tongue, especially when ridden, horses with EOTRH are generally much more comfortable with the painful teeth removed, and many can even learn to graze quite efficiently as long as the grass is of adequate length.  Although some horses with extracted incisors need to be maintained on shorter fibre feed (pelleted or cubed feeds such as Senior’s feed or hay cubes, hay stretchers, and so on), many can learn to use their lips and tongue to prehend grass and hay.  As the cheek teeth are usually unaffected, many affected horses are still able to chew hay and grass unless they have other unrelated age related wear on their cheek teeth.

Many aspects of EOTRH still remain a mystery, and hopefully the current ongoing research will provide more options for prevention and treatment of this painful condition.  Until that time, however, a good oral exam by a veterinarian provides the best chance to identify and mitigate the symptoms we identify associated with EOTRH and help keep our affected horses as comfortable as possible.

Previous
Previous

Defying Age

Next
Next

A Snapshot of Your Horse's Foot